Smiles matter, probably more than we realize. Volumes of research confirm the influential role of smiles in our relationships and our self-esteem. If you’re confident, you smile more. If you smile more, you feel more confident. Do you find yourself hiding your smile or not smiling with confidence? The effects of a bad smile may ripple through your life. Fortunately, there are many options that can give you a confident smile. Dr. Cabrera’s passion for enhancing smiles brings you the best in modern dentistry.
Custom-crafted to each tooth, veneers provide an artist’s touch to your smile. Regardless of your vision for your smile, chances are veneers offer an answer. When today’s modern materials meet our passion for cosmetic excellence, you’ll be amazed at what you see smiling back at you in the mirror.
Damaged teeth might seem hopeless, but there’s often a solid foundation underneath. A crown, or cap, can bring a compromised tooth back to full function. Utilizing modern porcelain materials, you’ll have a difficult time trying to find where the crown ends and the tooth starts.
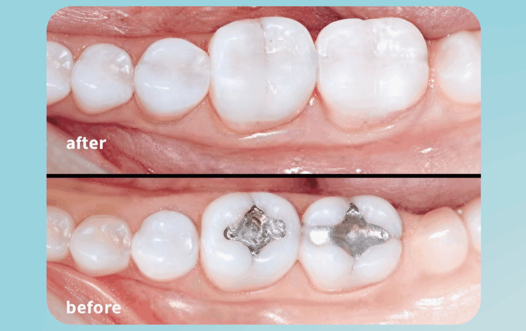
Cavities, chips, and fractures can occur on any tooth surface throughout the mouth. The composite filling material is tooth-colored and provides a versatile solution to many common problems. Blended into a prepared area, the composite polishes to a smooth, undetectable finish.
Nothing boosts your confidence like a BRIGHT smile. Over time, yellow stains can dull the color of your teeth. Professional whitening systems provide the ultimate in whitening results, quickly removing years of discoloration leaving gleaming results.
Teeth rarely fracture predictably. Sometimes a break is too big for a filling, but not big enough for a crown. Porcelain onlays provides an excellent solution for teeth that need extra reinforcement without being covered entirely. Bonded into place, they provide years of natural feel, function, and esthetics.


